Записаться на приём

Портфолио наших работ

Полный комплекс стоматологических услуг для взрослых и детей: от консультации до сложных хирургических операций в рамках одной клиники
Заказать обратный звонокРассчитать стоимость

Что было сделано:

  • Хирургический этап – удаление зубов не подлежащих лечению, установка 7-ми имплантатов, пластика десны.
  • Ортопедический этап – через 3 месяца установка циркониевых коронок на импланты и зубы.

Профилактический осмотр и гигиена раз в полгода.

Что было сделано:

  • Хирургический этап – удаление всех зубов, установка имплантов и временной конструкции .
  • Ортопедическое лечение – через 3 месяца установка циркониевых коронок на импланты
  • Профилактический осмотр и гигиена раз в полгода
С помощью элайнеров можно немного расширить верхнюю или нижнюю челюсти
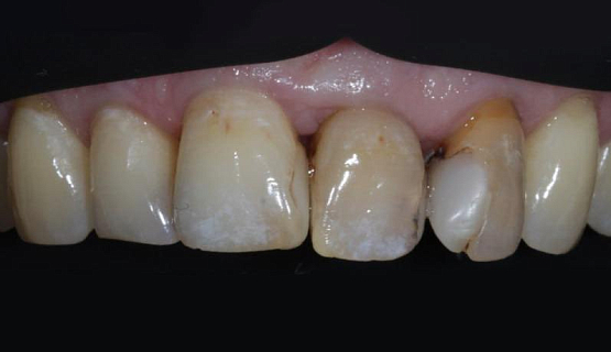
Из-за долгого отсутствия зубов произошла атрофия кости и десны. Пластика вернула десне необходимый объем, плотность и стабильность.
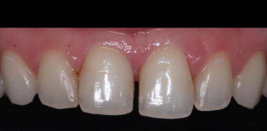
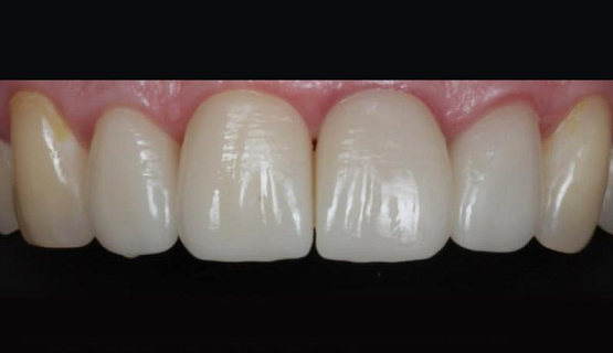
Результат установки виниров
История пациента
Клиника: г. Челябинск, ул. Бр. Кашириных, 54 г
Элайнеры позволяют исправить наклон одного зуба, поставить челюсть в идеально положение, избавить пациента от многолетней боли, хрустов в суставе и других проблем, которые, на первый взгляд, и не связаны со стоматологией.