Записаться на приём

Портфолио наших работ

Полный комплекс стоматологических услуг для взрослых и детей: от консультации до сложных хирургических операций в рамках одной клиники
Заказать обратный звонокРассчитать стоимость
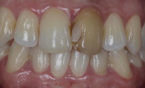
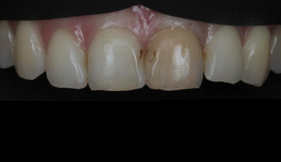
Голливудская улыбка, или Цифровой Дизайн Улыбки DSD
ГК «Стомпрактика.рф» — ведущая сеть стоматологических клиник в Южно-Уральском регионе по созданию голливудской улыбки по технологии «Цифровой дизайн улыбки DSD»
История пациента
Клиника: г. Челябинск, ул. Бр. Кашириных, 54 г
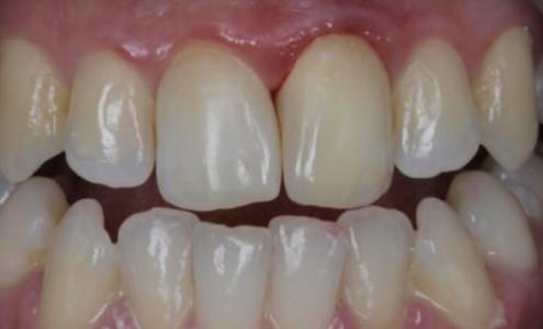
Гигиена в Стомпрактике.рф проходит по швейцарскому протоколу GBT Prophylaxis Master.
Клиника: г. Челябинск, ул. Бр. Кашириных, 54 г
У пациентки произошло разволокнение шины, поставленной в другой клинике. Врач сначала провела починку, затем поставила новую полимерную шину. Также устранен промежуток между зубами 4.1 и 4.2
Реабилитация при помощи методики «ВСЕ НА 4»
Создаем улыбку "с нуля" на несъемном протезе на четырех имплантах.
История пациента
Клиника: г. Челябинск, пл. МОПРа, 9
Результат установки импланта
Результат восстановления зубов с помощью имплантации

Что было сделано:

  • Ортодонтическое лечение при помощи эластопозиционера (капа для исправления прикуса у детей)
  • Срок лечения 1 год

Возраст пациента: 9 лет

Что было сделано:

  • Ортодонтическое лечение при помощи брекет-системы Damon Q
  • Срок лечения 15 месяцев

Возраст пациента: 13 лет

Что было сделано?

Лечение было проведено в 2 этапа

  • Исправление положения зубов, правильное смыкание по прикусу
  • Композитная реставрация центральных резцов

Возраст пациента: 14 лет

Клиника: г. Челябинск, ул. Бр. Кашириных, 54 г
Невероятный результат отбеливания «Phillips ZOOM WhiteSpeed!»

Что было сделано?

  • Консультация и профессиональная гигиена.
  • Безопасное кабинетное отбеливание самой прогрессивной системой

В результате пациент получил яркую белоснежную улыбку. На фотографиях «до» виден явный контраст между исходным оттенком зубов и склерами глаз, на фотографиях «после» цвет зубов стал заметно белее

История пациента
Клиника: г. Челябинск, Комсомольский проспект, 80.