Записаться на приём
Стоматологическая практикаСтоматологиТкаченко Андрей Станиславович

Ткаченко Андрей Станиславович

Стоматолог-терапевт, опытный гигиенист. Регулярное посещение Андрея Станиславовича позволит никогда не столкнуться с проблемой потери зубов и необходимостью протезирования.
Записаться на приём
Общий стаж работы 9 лет, начиная с 2017 года
Владеет современными методиками профилактики
Провел более 1000 процедур профилактики
Участник общероссийский конференций

Ткаченко Андрей Станиславович — стоматолог-терапевт, гигиенист в сети клиник «Стомпрактика.рф» г. Челябинск

Владеет современными техниками лечения зубов.

Также доктор решит проблему потемнения эмали. В клинических условиях он способен обелить зубы на 12 тонов всего за одно посещение. При этом не развивается гиперчувствительность, а результат сохраняется долгое время.

Образование

Повышение квалификации

Жизненное кредо доктора: относись к людям так, как хочешь, чтобы они относились к тебе.

Услуги, за которыми Вы можете обратиться к Андрею Станиславовичу

Стоимость первичного приема
от 1200 руб.

Где принимает:

Посетите консультацию Ткаченко Андрея Станиславовича

В консультацию с комплексным обследованием входит:

  • Консультация стоматолога-терапевта Ткаченко Андрея Станиславовича
  • Визуальная оценка состояния полости рта с использованием фотопротокола (с персонального согласия пациента)
  • Виртуальная демонстрация результата (с персонального согласия пациента)
  • Подбор подходящей методики профилактики или отбеливания зубов в рамках клинического случая пациента
  • Рекомендации по подбору средств по уходу за полостью рта
Запишитесь на консультацию

Фотографии работы

Фотографии работы

Передвигайте ползунок на фото, чтобы рассмотреть работу
До
После
До
После

Отзывы о враче

Отзывы о враче
Артур
Не первый год хожу к Андрею, каждый раз очень приятно удивляет своим профессионализмом и подходу к делу. Проходил как лечение так и гигиену, всегда был доволен. Андрей очень отзывчивый, всегда готов помочь, подсказать и дать рекомендации.
Смотреть весь отзыв
09 января 2026
Комфорт и сервис в клинике
Готовность рекомендовать клинику
Работа врача
Артур
09 января 2026
Комфорт и сервис в клинике
Готовность рекомендовать клинику
Работа врача
Елена
Благодарю врача Ткаченко Андрея Станиславовича за внимание,и прекрасное отношение к пациентам! Зуб был сложным в лечении, но доктор благодаря своему профессионализму справился и мне была установлена пломба. Во время всего лечения доктор меня поддерживал.Мне очень понравился доктор.
Смотреть весь отзыв
17 сентября 2025
Елена
17 сентября 2025
Марина Земцова
Была на комплексе гигиены у доктора Ткаченко А.С. Все очень понравилось, очень внимательный специалист, всегда интересовался моими ощущениями и самочувствием, после процедуры все доступно и понятно объяснил как сохранить надолго эффект после КГ. Так же в клинике сразу подобрали мне удобное время для того, чтобы посетить всех остальных необходимых специалистов сразу в один день и без перерывов. Очень приятный персонал, спасибо доктору. Всем советую!
Смотреть весь отзыв
Показать еще

Сертификаты

Наши работы

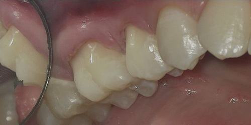
Замена несостоятельных пломб, под которыми образовался глубокий кариес из-за нарушенного краевого прилегания старого пломбировочного материала.
История пациента
Клиника: Комсомольский проспект, 80.
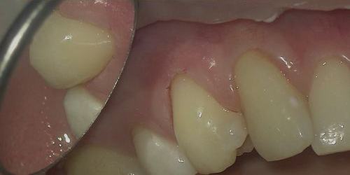
Замена пломбы.
История пациента
Клиника: Комсомольский проспект, 80.
Восстановление стенки и жевательной поверхности зуба, которые были поражены кариесом.
История пациента
Клиника: Комсомольский проспект, 80.
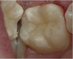
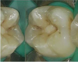
Лечение фиссурного кариеса, реставрация жевательной поверхности верхнего моляра
История пациента
Клиника: Комсомольский проспект, 80.
История пациента
Клиника: Комсомольский проспект, 80.
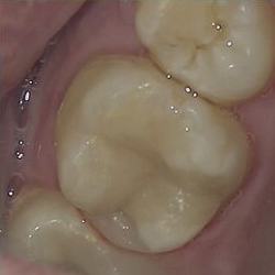
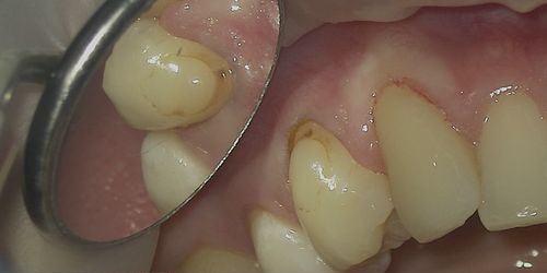
Лечение верхнего жевательного зуба, моделирование пломбировочным материалом, придание естественности зубу путем окрашивания фиссур
История пациента
Клиника: Комсомольский проспект, 80.
Лечение глубокого кариеса, восстановление стенки зуба и жевательной поверхности.
История пациента
Клиника: Комсомольский проспект, 80.
Лечение зуба на трёх поверхностях - контактная, жевательная и в слепой ямке. Художественная реставрация нижнего моляра.
История пациента
Клиника: Комсомольский проспект, 80.
Восстановление анатомических структур путем художественной реставрации нижнего жевательного зуба (моляра).
История пациента
Клиника: Комсомольский проспект, 80.